細菌膜感染(Biofilm Infection)一直是醫療界的一大難題,尤其當感染出現在身體內的植入物(例如支架、導管或網狀修補物)時,更難以清除,患者往往需進行高風險的手術或長期依賴抗生素治療。
中大領軍研發液態機械人
最近由香港中文大學(CUHK)領導的國際科研團隊,開發出一種創新「液態磁控機械人」(Liquid-bodied Antibiofilm Robot),不僅能穿越複雜的醫療植入物表面,還可直接破壞細菌膜,並同時殺滅病菌。這款液態機械人由磁性水凝膠構成,內含微型磁性粒子。透過外部磁場的控制,它能自由改變形狀,輕鬆穿過如支架或醫療網片等複雜結構的縫隙和表面。研究指出,機械人在磁場驅動下,可以透過機械力直接破壞細菌膜結構,同時釋放抗菌藥物,達到化學和機械雙重抗菌效果。
主動捕捉防止再感染
更值得一提的是,該機械人能「主動捕捉」被破壞後的細菌膜碎片,防止細菌再次擴散或重新感染。研究團隊以人工培養的細菌膜進行測試,證實該機械人在短短數分鐘內便能清除高達八成以上的細菌膜和病菌。
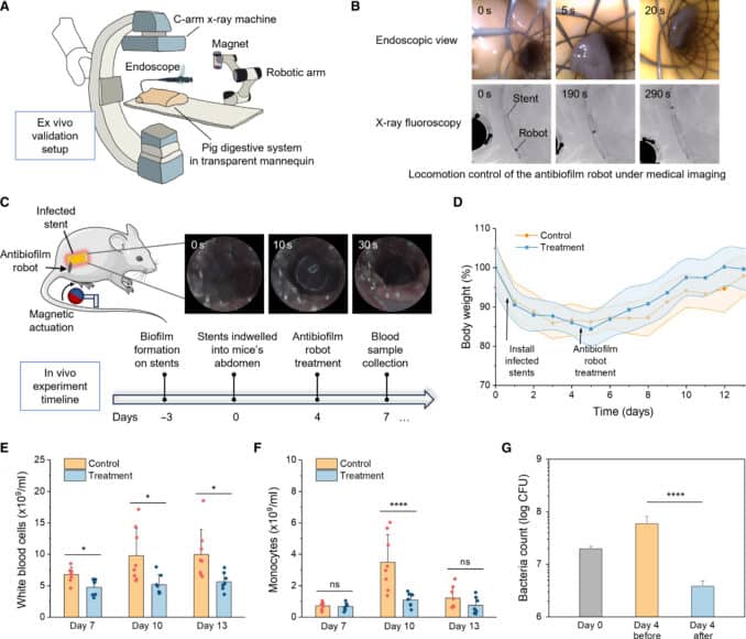
動物實驗成效顯著
此外研究團隊還透過豬膽管及老鼠的活體實驗驗證了此技術的可行性。在豬膽管測試中,液態機械人成功在內窺鏡和X光追蹤下,穿越複雜的金屬膽管支架表面,清除了表面的細菌膜。在老鼠實驗中,受細菌感染的植入支架在機械人治療後,細菌數量明顯下降,老鼠的體重和健康狀況也比未治療的對照組恢復得更快。
未來臨床應用前景
研究人員認為,這種創新技術未來有望廣泛應用於臨床,例如用於消除腹膜疝氣修補網片、膽管支架、甚至心血管植入裝置上的細菌感染,有效降低手術風險及抗生素濫用問題,為患者帶來更安全、更有效的治療方式。





